|
|
|
Clinic - 1:
Dr. Sharad Mishra (022 - 2813 1195)
Clinic - 2:
Dr. Mayuri Mishra (022 - 2855 1195)
| |
 | |
Single sitting root canal treatment is a new advance in dentistry, which has made root canal treatment painless & less time consuming. This treatment is done to avoid multiple injections & multiple visits, thus reducing the patient apprehension. |
|
|
|
|
 
|
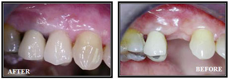
What are Dental Implants?
|
|
The concept of dental implantology is the replacement of missing teeth by placing
an artificial (titanium) root in the jaw bone where the teeth had been, and securing
a crown or denture using this implant as a foundation. After an implant is placed
in the jaw bone, it will integrate with the bone over several months through a process
called bosseointegrationb. A structure called the abutment is secured onto the implant
and the dental prosthesis such as a crown is then placed over it. After decades
of research and clinical success, dental implants are becoming the number one choice
for tooth replacement therapy
|
Benifits of Dental Implants?
|
|
Eat Better Dentures can only deliver a small fraction of the biting
force of natural teeth. With dental implants, patients can bite with forces close
to that of natural teeth. Better chewing efficiency results in better digestion
leading to improved health of patients
Speak Better One fear which denture wearers have is that of their
dentures popping out of their mouths when they speak. Implant supported prostheses
are retained firmly to the jaw, allowing patients to speak with confidence.
Look Better Implant supported crowns and bridges can be made to
look very natural, affording excellent aesthetics and this greatly enhances the
patientbs smile.
Feel Better Implant supported dentures can be fabricated with reduced
extensions, so that patients feel less bulk in their mouths while wearing their
protheses. With dental implants you wonbt have your dentures slipping and sliding
in your mouth again.
|
|
|
|
|